Soluzioni per il corretto allineamento dei denti a Ceto
Nella clinica dentale del dott. Belotti vengono eseguiti tutti i tipi di trattamento ortodontico
per un corretto allineamento dei denti.
In particolare, viene applicata l’ortodonzia intercettiva nei piccoli pazienti, con trattamenti che agiscono sulle strutture ossee, e l’ortodonzia tradizionale con l’utilizzo di attacchi vestibolari metallici o in ceramica.
Lo studio dentistico propone anche soluzioni invisibili, pensate principalmente per i pazienti adulti.
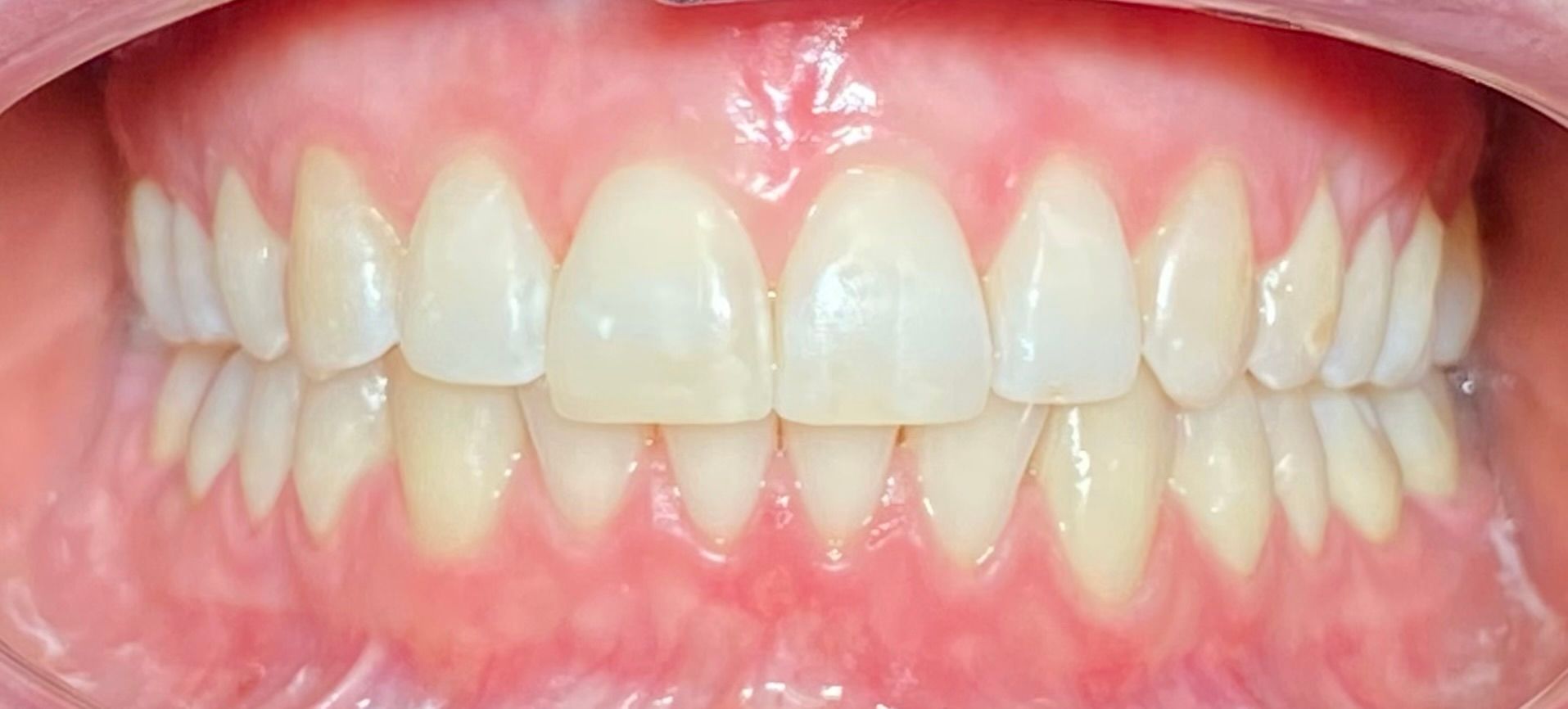
L’ortodonzia invisibile include un insieme di tecniche utilizzate per allineare i denti grazie all’ausilio di dispositivi non visibili dall'esterno. Si tratta di soluzione rapide, efficaci e comportano il minimo impatto estetico.
Mascherine trasparenti
Al fine di ottenere un corretto allineamento dei denti, al paziente vengono prese impronte di precisione delle arcate dentarie.
Con uno studio virtuale vengono poi definiti i movimenti dentali e il numero di allineatori trasparenti necessari per la risoluzione del disallineamento.
Ogni mascherina viene portata dal paziente per 15/20 giorni e poi cambiata secondo la sequenza stabilita in partenza dallo studio del caso.
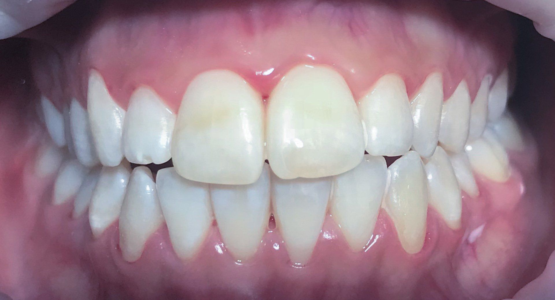
Ortodonzia linguale senza attacchi
Per l’allineamento dei denti lo studio dentale si serve anche delle soluzioni offerte dall’ortodonzia linguale senza attacchi.
Si tratta di una tecnica in cui l’arco che allinea i denti è incollato direttamente alle superfici interne dentali. Rappresenta un metodo molto confortevole vista l’assenza di attacchi in metallo, completamente invisibile e che non necessita di alcuna collaborazione da parte del paziente, a differenza delle mascherine invisibili, poiché è fisso e inoltre più veloce rispetto alle tecniche tradizionali.
Questo sistema, chiamato ADA Wire, è stato appreso in un corso dalla dott.ssa Giulia Belotti direttamente dall’inventore, il dott. Antonio D'Alessandro, ed è una tecnica nuova che sta spopolando tra i VIP.





