Estetica e igiene dentale a Ceto
Lo studio dentistico del dottor Cesare Belotti promuove le tecniche più all’avanguardia dell’odontoiatria estetica, proponendo pulizie dei denti, lo sbiancamento professionale e tanti altri trattamenti.
In ogni seduta di igiene dentale eseguita nella struttura viene utilizzato il sistema Air-Flow, metodo innovativo e altamente professionale. Consiste in un getto controllato di aria compressa, acqua e particelle di micropolvere. Lo scopo di questo trattamento è quello di rimuovere placca e macchie dalle superfici dentali, soprattutto quelle causate da fumo e cibi coloranti come caffè, tè e vino.
Lo sbiancamento professionale dei denti
Sono disponibili due diversi tipi di trattamenti sbiancanti. Il primo è quello effettuato direttamente in studio, dove dopo una seduta di igiene dentale, il gel sbiancante viene posizionato sui denti in tre applicazioni da dieci minuti l’una e attivato da una lampada a led ad alta potenza.
L’altro metodo è quello domiciliare e consiste nella consegna al paziente del gel sbiancante da inserire in mascherine trasparenti morbide ricavate da un’impronta di precisione.
Il tempo di trattamento dipende da vari fattori, soprattutto dal colore originale di partenza.
Per ottenere il risultato desiderato è possibile sottoporsi a più sedute di sbiancamento.
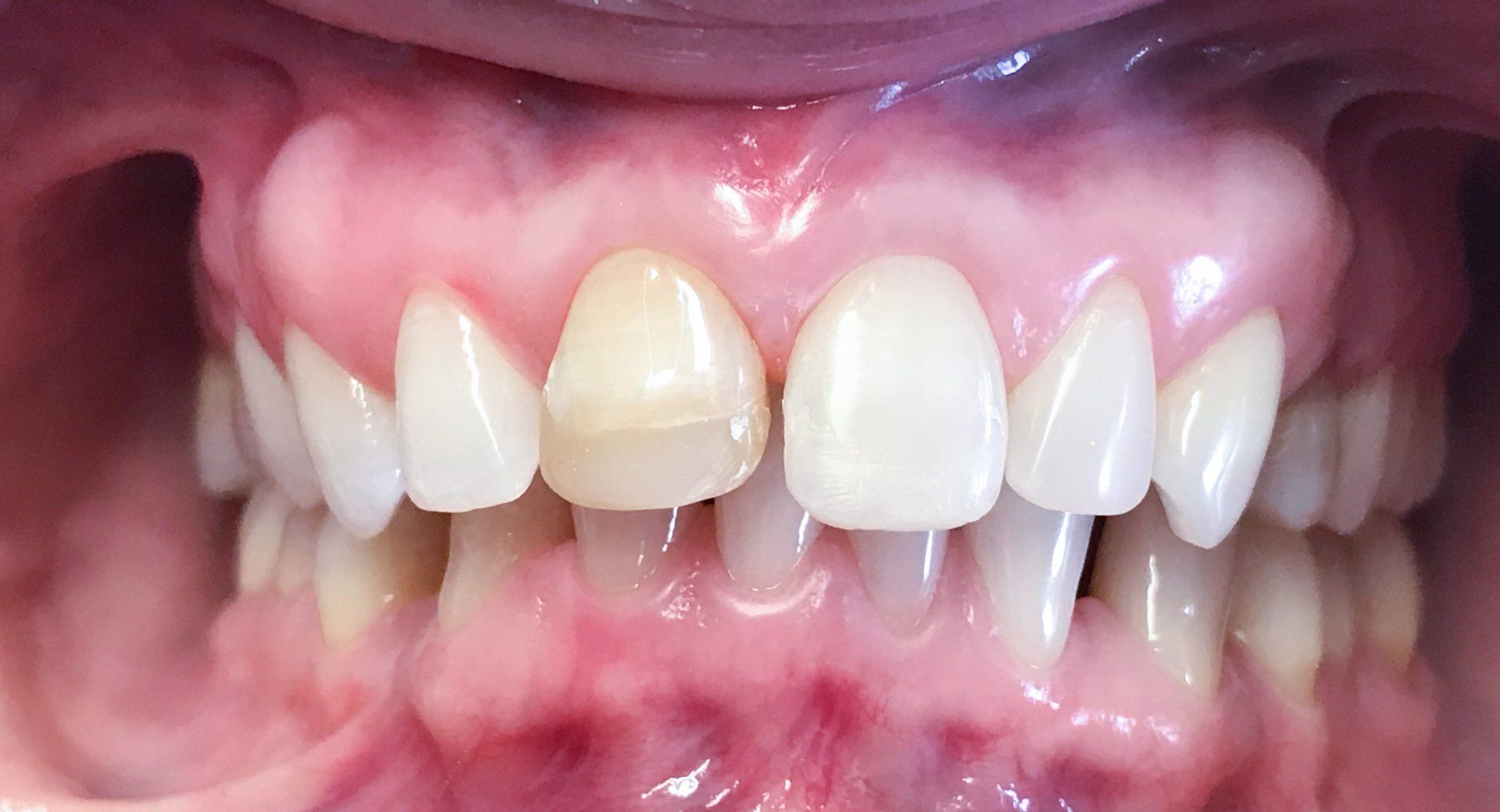
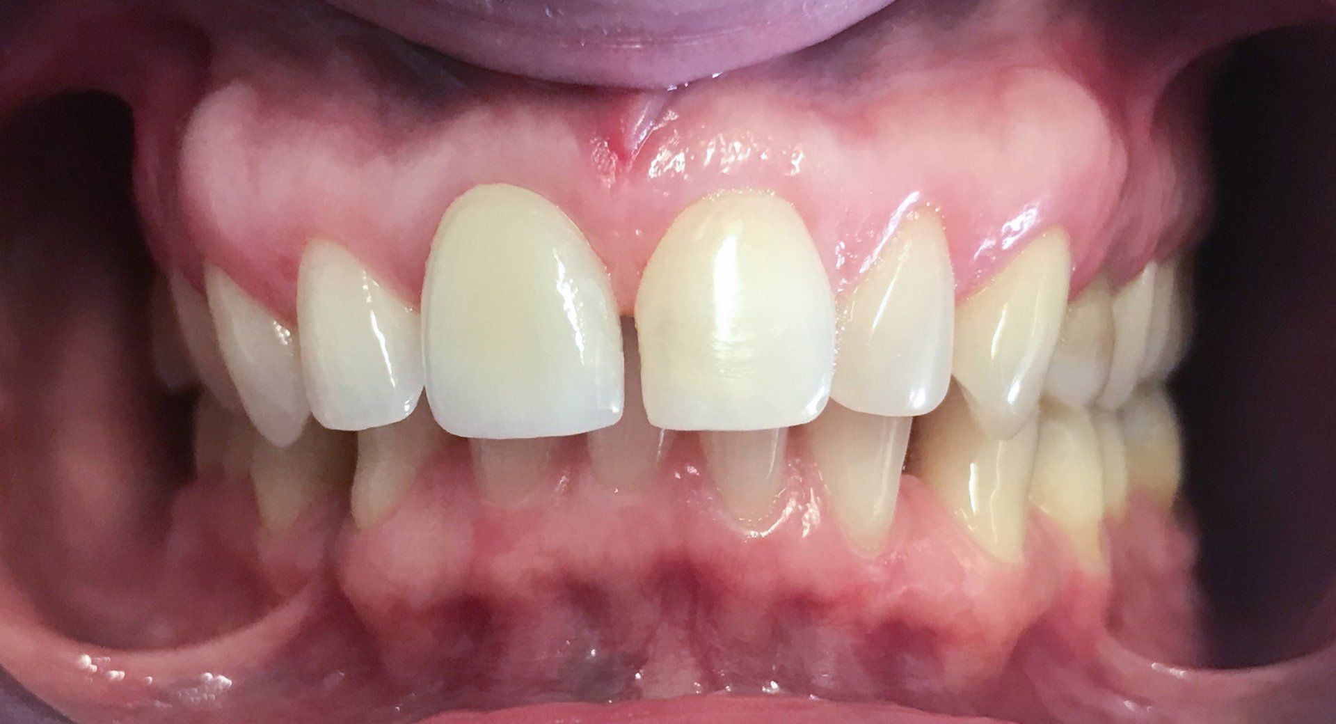
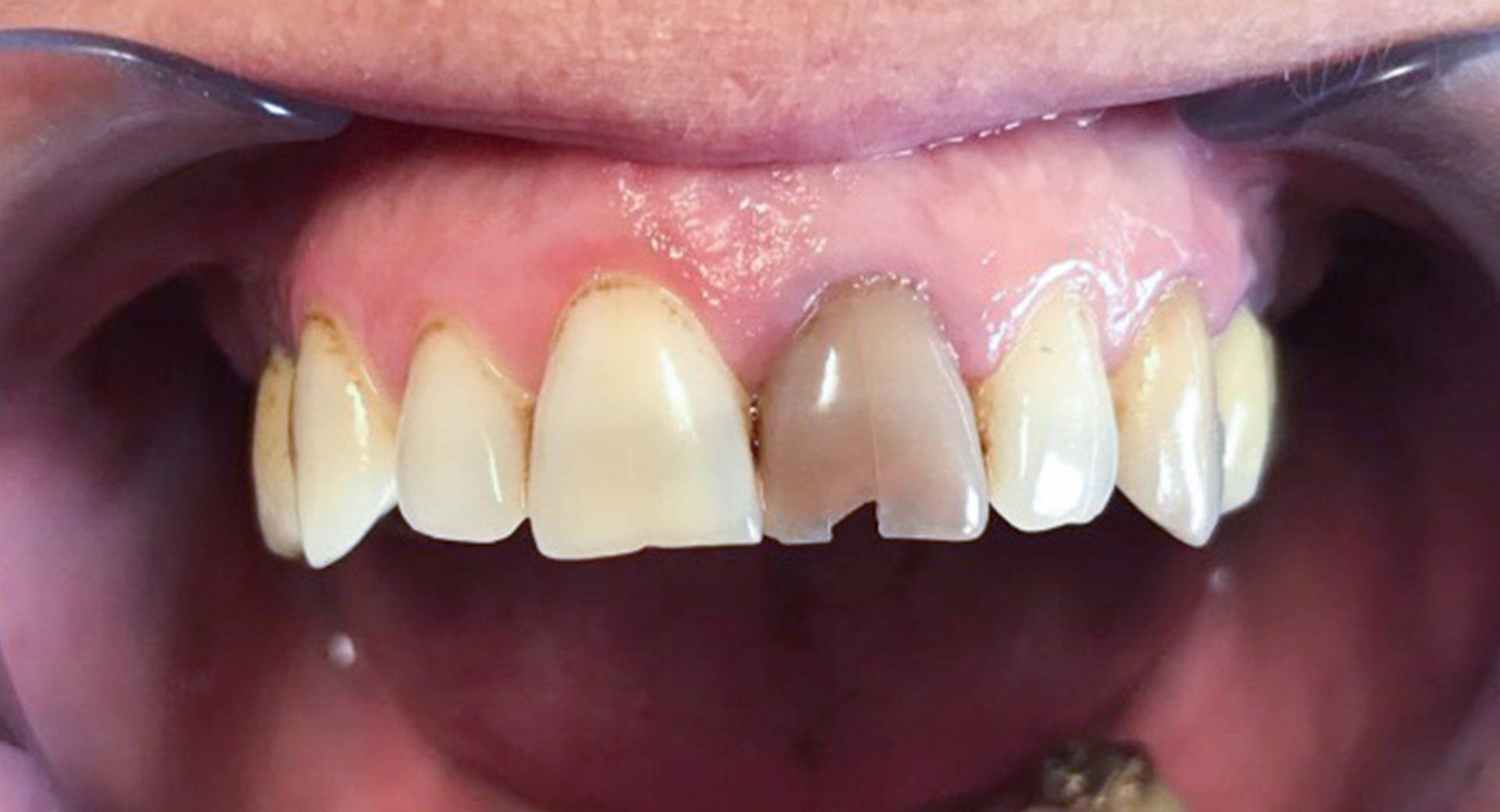
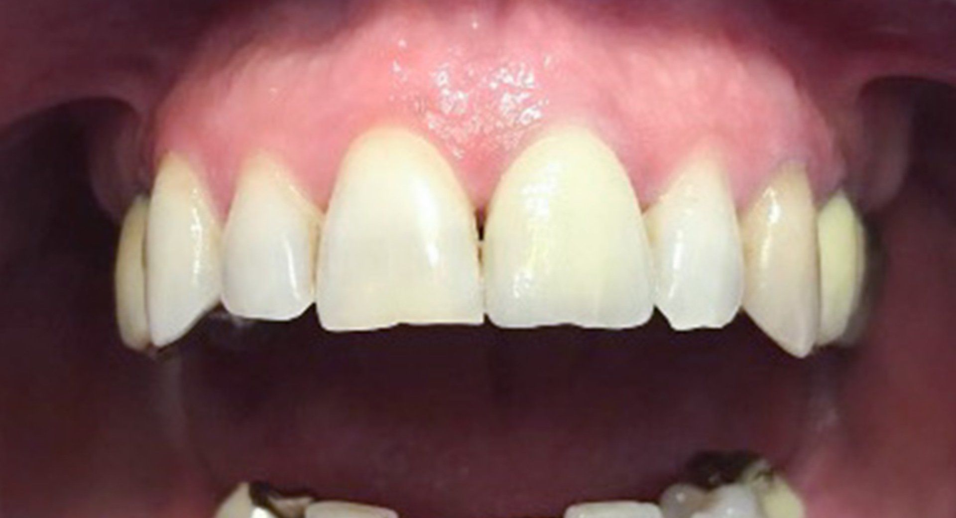
Trattamenti protesici
Nel momento in cui il difetto estetico non interessa solo l’igiene dentale o il colore degli elementi dentali, ma anche forma e dimensione, viene proposta una terapia di tipo protesico grazie all’utilizzo di faccette dentali o corone.







